When doctors diagnose epithelioid mesothelioma, the next big question on everyone’s mind is about the prognosis, or the likely course of the disease. It’s natural to want to know what to expect. The good news is that, compared to other types of mesothelioma, epithelioid mesothelioma generally has a more favorable outlook. This doesn’t mean it’s a simple condition, but it does mean there’s often more potential for positive outcomes.
Key Factors Influencing Epithelioid Mesothelioma Prognosis
Several things play a role in how epithelioid mesothelioma progresses and how well treatments might work. It’s not just one single thing, but a combination of factors. These include:
- Overall Health: A patient’s general health status before diagnosis can significantly impact their ability to tolerate treatments and recover.
- Cancer Stage: How far the cancer has spread at the time of diagnosis is a major determinant of prognosis. Earlier stages usually mean better outcomes.
- Treatment Response: How an individual’s cancer responds to therapies like surgery, chemotherapy, or immunotherapy is critical.
- Specific Subtype: Even within epithelioid mesothelioma, there can be subtle variations that affect how the cancer behaves.
Epithelioid Mesothelioma vs. Other Cell Types
Mesothelioma isn’t just one kind of cancer; it’s classified by the type of cells it originates from. Epithelioid mesothelioma is the most common type, making up about half of all pleural mesothelioma cases. The other main types are sarcomatoid and biphasic (a mix of both). Generally, epithelioid mesothelioma cells respond better to treatment and tend to grow more slowly than sarcomatoid cells. This difference in behavior is why epithelioid mesothelioma often has a better prognosis.
Prognosis Metrics: Survival Rate and Life Expectancy
When discussing prognosis, doctors often use specific terms like survival rate and life expectancy. It’s important to understand what these mean:
- Survival Rate: This refers to the percentage of people diagnosed with a specific cancer who are still alive after a set period, usually measured at 2 or 5 years post-diagnosis. For example, a 5-year survival rate of 14% means that 14 out of every 100 people diagnosed with epithelioid mesothelioma are still alive five years later.
- Life Expectancy: This is the average amount of time a person is expected to live after diagnosis. For epithelioid mesothelioma, the median life expectancy can vary, but it’s often discussed in terms of months. However, it’s just an average; many individuals live longer, especially with effective treatment.
Epithelioid Mesothelioma Survival Rates
Survival Rates by Treatment Modality
The survival rate for epithelioid mesothelioma gives us an idea of how many people are still alive a certain amount of time after diagnosis. It’s usually looked at in terms of 2-year and 5-year intervals. It’s important to remember that these are just statistics; everyone’s situation is unique.
Different treatments can affect these numbers. For example:
- Surgery and Chemotherapy: This combination has shown a 2-year survival rate of about 45% and a 5-year survival rate of around 15% in some studies.
- Surgery Alone: When surgery is the primary treatment, the 2-year survival rate can be around 45%, with the 5-year rate dropping to about 14%.
- Chemotherapy: Using chemotherapy alone typically shows a 2-year survival rate of about 35%, and a 5-year rate of approximately 9%.
- Radiotherapy: This treatment option has shown a 2-year survival rate of around 40% and a 5-year rate of about 12%.
- Immunotherapy: While promising, immunotherapy alone has shown a 2-year survival rate of about 37%, with a 5-year rate around 7%.
Interpreting Survival Data for Epithelioid Mesothelioma
When looking at survival data, it’s helpful to understand what it means for an individual. These percentages represent groups of people and don’t predict exactly what will happen to any one patient. Factors like the stage of the cancer when it’s found, a person’s general health, and how well they respond to treatment all play a big role. Epithelioid mesothelioma generally has a better prognosis compared to other types of mesothelioma, partly because it tends to grow more slowly and respond better to treatments.
Factors Affecting Individual Survival Outcomes
Several things can influence how long someone with epithelioid mesothelioma might live. It’s not just about the treatment itself. Here are some key points:
- Stage at Diagnosis: Catching the cancer early, when it’s confined to a smaller area, usually leads to better outcomes.
- Overall Health: A patient’s general physical condition and presence of other health issues can impact their ability to tolerate treatment and recover.
- Specific Treatment Chosen: The type of treatment, whether it’s surgery, chemotherapy, radiation, or a combination, and how effective it is for the individual.
- Tumor Characteristics: The specific subtype of epithelioid mesothelioma and its genetic makeup can also influence how it behaves and responds to therapy.
- Patient’s Age: While not the sole determinant, age can sometimes be a factor in treatment tolerance and recovery.
Epithelioid Mesothelioma Life Expectancy
When discussing epithelioid mesothelioma, understanding life expectancy is a key part of grasping the overall prognosis. It’s important to remember that these figures are averages, and individual experiences can vary significantly. The average life expectancy for epithelioid mesothelioma is often cited around 2.5 years, or approximately 31.5 months, following diagnosis. However, this number is influenced by a multitude of factors, and some patients have lived considerably longer.
Average Life Expectancy for Epithelioid Mesothelioma
Several elements contribute to the life expectancy of someone diagnosed with epithelioid mesothelioma. These include:
- Stage of the cancer: Earlier stages, where the cancer has not spread extensively, generally correlate with longer life expectancies.
- Overall health status: A patient’s general health and the presence of other medical conditions can impact their ability to tolerate treatment and their body’s response.
- Treatment received: The type and aggressiveness of treatment play a significant role. Patients who are candidates for and receive surgery, especially in early stages, often have better outcomes.
- Response to treatment: How well an individual’s cancer responds to therapies like chemotherapy, radiation, or immunotherapy can directly affect their life expectancy.
Long-Term Survival in Epithelioid Mesothelioma Cases
While the average life expectancy provides a general outlook, it’s also possible for individuals to achieve long-term survival with epithelioid mesothelioma. Some patients, particularly those diagnosed at an early stage and who undergo successful treatment, have lived for many years, with some cases extending beyond five or even six years. This highlights the importance of personalized treatment plans and ongoing medical care. Connecting with specialists can help explore options that may improve survival time.
Impact of Early Diagnosis on Life Expectancy
The timing of a diagnosis is a critical factor influencing life expectancy. When epithelioid mesothelioma is detected in its early stages, treatment options are often more effective, and the potential for a longer lifespan increases. Early detection allows for interventions before the cancer has significantly progressed or spread, making it a vital aspect of improving prognosis. This underscores the importance of seeking medical attention if symptoms arise, especially for individuals with a history of asbestos exposure.
Epithelioid Mesothelioma Subtypes and Their Prognostic Implications
Adenomatoid Subtype Prognosis
The adenomatoid subtype, which accounts for about 6% of epithelioid pleural mesothelioma cases, is generally associated with a more favorable prognosis compared to other subtypes. This means patients diagnosed with this specific cell type may experience longer survival times.
Cystic Subtype Characteristics
The cystic subtype of epithelioid mesothelioma is relatively rare and often presents differently. It is typically found in women and is more commonly associated with peritoneal mesothelioma. Importantly, this subtype is often considered benign, meaning it is not cancerous, though it still requires medical attention and monitoring.
Deciduoid Subtype Outlook
Making up around 5% of mesothelioma diagnoses, the deciduoid subtype is another variant that doctors carefully consider. While it can occur in the lungs, it is also seen in the abdomen. The exact causes are not fully understood, and it is more frequently diagnosed in women. The outlook for this subtype can vary.
Well-Differentiated Papillary Mesothelioma Survival
Well-differentiated papillary mesothelioma (WDPM) is characterized by its slow growth and tendency to metastasize less aggressively. This subtype is more common in women, though it can affect men as well. Studies have shown a wide range of survival times for WDPM, often extending from 36 to 180 months, indicating a generally better prognosis than some other forms of mesothelioma.
Diagnostic Tools for Epithelioid Mesothelioma Prognosis
Figuring out if someone has epithelioid mesothelioma and how it might progress involves a few key steps. Doctors use special tests to get a clear picture. It’s not just about seeing the cancer; it’s about understanding its specific type and characteristics to predict how it might behave.
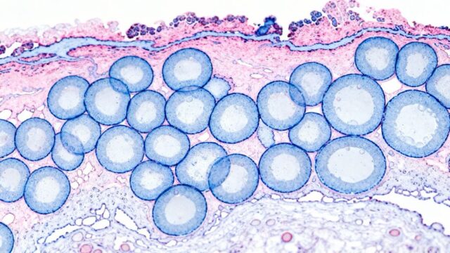
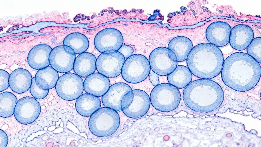
Role of Immunohistochemistry in Diagnosis
When a biopsy sample is examined, sometimes it’s tricky to tell exactly what kind of cells are involved. This is where a technique called immunohistochemistry comes in handy. It’s like using a special stain for cells. Pathologists use antibodies that stick to specific proteins found in cancer cells. If these proteins are present, it helps confirm the diagnosis and points towards epithelioid mesothelioma. This method is vital for distinguishing it from other similar-looking cancers.
Identifying Specific Protein Markers
To pinpoint epithelioid mesothelioma, doctors look for certain protein markers. Some common ones include:
- Calretinin
- Cytokeratin (CK7/CK8)
- Wilms’ Tumor 1 (WT-1)
- Podoplanin (D2-40)
Finding these proteins in the biopsy sample strongly suggests the presence of epithelioid mesothelioma. It helps doctors understand the specific nature of the tumor.
Distinguishing Epithelioid Mesothelioma from Other Cancers
It’s also important to rule out other types of cancer that can look similar under a microscope, like lung adenocarcinoma. Doctors do this by looking for markers that are typically absent in epithelioid mesothelioma. For example, they might check for markers like CEA or MOC31. If these are present and the epithelioid markers are absent, it suggests a different diagnosis. This careful comparison of markers ensures the most accurate diagnosis, which is the first step in planning the best course of treatment and understanding the potential prognosis.
Treatment Modalities and Their Impact on Epithelioid Mesothelioma Prognosis
The approach to treating epithelioid mesothelioma significantly influences patient outcomes. Doctors often consider a combination of therapies, known as multimodal treatment, to achieve the best possible results. The specific combination and sequence of treatments are tailored to the individual patient’s condition, including the stage of the cancer and the patient’s overall health.
Surgical Intervention and Survival Outcomes
Surgery is typically considered for patients with early-stage epithelioid mesothelioma, where the cancer has not spread extensively. Procedures like pleurectomy/decortication (P/D) aim to remove all visible cancerous tissue. While surgery can be a vital part of treatment, its effectiveness is often enhanced when combined with other therapies. For peritoneal mesothelioma, cytoreductive surgery combined with HIPEC (heated chemotherapy delivered directly into the abdomen) is a common approach.
Chemotherapy’s Role in Prognosis
Chemotherapy uses drugs to kill cancer cells or slow their growth. It is a cornerstone treatment for many epithelioid mesothelioma patients, especially when surgery is not an option or as an adjunct to other treatments. Standard first-line chemotherapy often involves a combination of pemetrexed with cisplatin or carboplatin. Studies have shown that chemotherapy, particularly when used in multimodal plans, can extend survival times. For instance, patients receiving chemotherapy alone might have a median survival of around 17 to 24.8 months, but this can increase with combined approaches [2540].
Radiotherapy and Immunotherapy Effects on Survival
Radiation therapy uses high-energy rays to target cancer cells. While it can be part of a treatment plan, its role in improving prognosis when used alone is limited [8b87]. Immunotherapy, on the other hand, has emerged as a significant advancement. These treatments help the patient’s own immune system recognize and attack cancer cells. Certain immunotherapy drugs, like nivolumab and ipilimumab, have shown promise in extending survival for patients with inoperable mesothelioma, sometimes outperforming chemotherapy alone in specific studies.
Combined Treatment Approaches for Improved Prognosis
Combining different treatment modalities often yields the most favorable outcomes for epithelioid mesothelioma. Multimodal therapy, which might include surgery, chemotherapy, and immunotherapy, is frequently associated with the greatest survival rates. For example, patients undergoing a combination of surgery and heated chemotherapy have demonstrated significantly longer survival periods compared to those receiving single-modality treatments. The integration of these therapies aims to attack the cancer from multiple angles, thereby improving the chances of remission and prolonging life expectancy.
Demographic Factors Influencing Epithelioid Mesothelioma Prognosis
Age and Its Effect on Mesothelioma Prognosis
Age is a significant factor when considering the outlook for epithelioid mesothelioma. Generally, younger patients tend to have a better prognosis than older individuals. This is often because younger people may be in better overall health and have stronger immune systems, allowing them to tolerate more aggressive treatments. Research indicates that individuals under 45 have a notably better chance of longer survival compared to those over 75. For instance, the five-year survival rate for patients under 45 can be as high as 42.2%, whereas for those over 75, it drops to around 4.6%. This difference highlights how age can influence treatment response and overall outcomes.
Gender Differences in Epithelioid Mesothelioma Survival
Studies have shown that women often experience a better prognosis with epithelioid mesothelioma than men. While the exact reasons are still being explored, researchers suspect that hormonal differences may play a role. The precise relationship between hormones and mesothelioma outcomes is not fully understood, but it’s an area of ongoing investigation that could potentially lead to new treatment strategies. Statistics from the Surveillance, Epidemiology and End Results (SEER) program between 2010 and 2016 revealed that about 16.3% of women lived for five years after diagnosis, compared to only 7.3% of men. This suggests a notable disparity in survival rates based on gender.
Overall Health Status and Treatment Response
A patient’s general health status before diagnosis is another key element affecting their epithelioid mesothelioma prognosis. Individuals who are in good overall health, without other significant medical conditions (comorbidities), typically respond better to treatments. A strong constitution can mean better tolerance for therapies like chemotherapy or surgery, potentially leading to improved survival rates. Conversely, patients with pre-existing health issues may face more challenges in undergoing or completing treatment, which can impact their outlook. The combination of age, gender, and overall health provides a more complete picture of an individual’s likely prognosis.







